Valgus deformity of the first leg most often affects older women, but it also affects men.A deformed base of the thumb does not look aesthetically pleasing.In this case, a person feels physical discomfort, and in the advanced stage - pain.Big toe deviation is the result of uneven body load on the foot.Such changes have a harmful effect on the feet and other fingers.
Causes of curvature

Hallux Valgus does not occur for any reason.This pathology appears and develops under the influence of various reasons.Hallux Valgus mostly affects people who are genetically predisposed to this disease.Doctors note the following causes of deformation of 1 finger:
- Excess body weight.
- Endocrine diseases.
- Osteoporosis.
- Straight legs.
- Diabetes mellitus.
- Psoriasis.
- Arthritis.
- Hormonal changes during pregnancy and old age.
- Wearing tight shoes.
- The specificity of the profession forces a person to endure increased physical activity on his feet every day.
Mercy and varieties
Doctors consider 3 stages of disease progression:
- Subtle valgus deviation.Redness of the skin and small excoriations also appear.Discomfort when walking.
- A growth on the thumb is already visible.Swelling and pain are observed.
- This form of the disease is considered advanced.A person is worried about the constant unbearable pain of the big toe and the entire foot and the appearance of keratinized skin.The pain does not go away during sleep.
Unpleasant Hallux Valgus development is influenced by many factors.Experts have identified the following finger deformities as a separate category:
- To undergo deformation.Curvature occurs in different directions.Fingers crossed.
- The curvature of the joints because they are always bent.At the first stage of the development of the pathology, it may be necessary to straighten the fingers with the help of hands.If treatment is not started at this time, the fingers will become so stiff that you can no longer straighten them with your hands.Now it is impossible to do without surgery.
- Taylor deformation.Pathology affecting the little fingers.It is characterized by the appearance of a growth in the bones.
- The curvature of the phalanges, resembling hooks.

Experts include ballerinas at risk of developing Hallux Valgus.Dancing on your toes increases the stress on your toes, causing them to curve.Incorrect behavior can also lead to undesirable consequences.Precipitating factors are aggravated by age.
Diagnostic methods
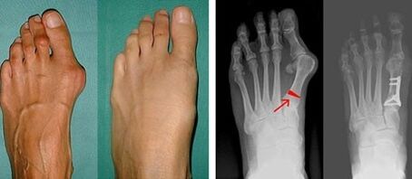
If the visual examination and X-rays do not give any results, the patient is referred to plantography to identify possible flat feet.This method involves taking impressions of the feet based on shoes or insoles with orthopedic properties for the patient.The patient is then prescribed podometry.This method uses computer analysis to determine the standing pressure of a person's weight.The results of advanced diagnostics are the basis for choosing a treatment method for curvature of the first and second finger.
The disadvantage of X-ray examination is the need to change the patient's legs, which many patients do not like.They think that this is a very harmful method.In this regard, effective treatment of Zallux valgus cannot be started without the results of plantography.

This is the best informative diagnostic method.With its help, the doctor determines not only the presence of straight legs, but also the condition of the arches of the feet.A computer scan is the most effective way to detect flat feet.
At the first stage of determining the valgus of the big toe and little toe, the doctor conducts a visual examination.In this way, it determines the stage of development of the pathology.X-rays and plantography are prescribed to determine detailed changes in joints.
Drug therapy
Before the last stage of the development of the pathology begins, it is better to start treating the foot, as well as a large one.Experts know how to treat this pathology, but they do not know how to treat the advanced form of the disease without surgical intervention.First, doctors determine the cause of the curvature of the fingers, as well as the presence of difficult factors.As is known, the task of drug therapy includes symptomatic therapy.This means that pain, inflammation and swelling are eliminated.
Patients are often prescribed nonsteroidal anti-inflammatory drugs.In addition to their main function, they reduce pain and fever.When complications occur, hormonal corticosteroids are often prescribed.If the deformation of the fingers is caused by diseases of the internal organs, the joints can be corrected after the treatment of the main pathology.In this case, endocrinologists deal with the problem together with other highly specialized specialists.Many people, forgetting that this is possible at the initial stage of the development of pathology, try to treat themselves using folk remedies.
If pathology is detected at the initial stage, then the crooked thumb is corrected with the help of devices - plastic or silicone pads with orthopedic properties.You should wear soft, wide shoes during treatment.To correct crooked fingers, orthopedic impressions, arch supports and other corrections are used.Deformed fingers are fixed with special splits, rings, caps and combs.With the help of such devices, the fingers are ensured in the correct position.Thanks to orthopedic fixators, the development of further deformation of the fingers stops.
There are two ways to treat Hallux Valgus.The first is a painless correction of a deformity that does not require surgical intervention and rehabilitation, and the second is treated with surgery.
Surgical methods of treatment

Full treatment of Hallux Valgus is possible only with the help of a surgeon's scalpel.Sometimes only one operation is enough and the patient forgets about the problem forever.The doctor performs surgical intervention taking into account the type of hallux valgus deformity.The most common types of operations are:
- Exostectomy.Only a certain part of the metatarsal bone is removed.
- Resection arthroplasty.The last part of the metatarsal bone is removed.
- Osteotomy.It is used to remove the metatarsal bone as well as a small element of the phalanx.
- Resection.The operation is aimed at removing the affected soft tissues and then transplanting them in place of healthy tissues.
- Arthrodes.It provides forced immobility of the joints.
- Distal osteotomy.The operation involves reducing the angle between the joints.
- Removal of the inflamed bursa of the big toe.
- Installation of implants.
The rehabilitation period after surgery can last up to seven weeks.During these few weeks, special preventive measures are usually carried out.First, these are encouraging therapeutic exercises:
- improving health;
- reduce pain when walking;
- increase the tone of the leg muscles;
- Installation and fixation of a deformed joint in its natural state.
The duration of the rehabilitation period mostly depends on the complexity of the operation.To speed up recovery, you should start moving your fingers the next day.After a week, the patient is already on his feet and can move slowly, taking precautions.The main thing is not to lie down for a long time.
After the operation, you will need high-quality soft and wide shoes.It is taken on the recommendation of a doctor.By the way, if you start doing therapeutic exercises at the beginning of Hallux Valgus development, you can do it not only without surgical intervention, but also without wasting money on various devices, ointments and medicines.
Experts say that the choice of surgical treatment gives almost one hundred percent positive results.This gentle treatment method does not require anesthesia and does not cause stress or psychological distress.However, painless treatment methods cannot save a person from the last stage of the disease.
Preventive measures

Preventive measures are quite simple - wear comfortable shoes with wide feet that do not put pressure on the toes.Legs in particular, and in general, are generally able to withstand the weight that accumulates during human growth without damage.Therefore, it is very important to monitor your body weight to prevent obesity.
One of the effective preventive exercises is as follows: a person sitting in a chair with legs up, moves using his fingers.
The next exercise is walking barefoot, alternating between your feet and your heels.
Simple gymnastics is quickly mastered, leading to more complex physical exercises.You can then perform actions such as picking up a pen or other object from the floor.
It is better to prevent thumb deformity than to stand in queues at medical facilities later to get the doctor's recommendations on choosing an effective treatment.























